Category: Dogs
Four Pillars Approach to Achieving Longevity in Canine Patients
Veterinary professionals understand that longevity isn’t simply about adding years to a dog’s life—it’s about adding quality to those years. A well-rounded approach considers the…
New Trends in Companion Animal Analgesia
Pain management in companion animals continues to evolve beyond traditional pharmaceutical approaches. Today’s veterinary professionals are increasingly incorporating Complementary and Alternative Veterinary Medicine (CAVM) alongside…
Managing Early-Life Obesity in Dogs: A Guide for Veterinary Professionals
Veterinary professionals are increasingly seeing puppies and young dogs presenting with weight issues that set them up for lifelong health challenges. Understanding which breeds are…
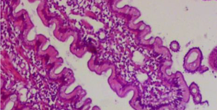
Gut Balance as the Driver of Animal Growth and Health
The gastrointestinal tract serves as far more than a simple digestive organ—it functions as a complex regulatory system that significantly influences overall animal growth and…
Emotional Intelligence: A Key to Combating Stress in Veterinary Practice
Working in veterinary medicine is incredibly rewarding, but it can also be emotionally draining. Between difficult cases, client emotions, and long hours, stress, anxiety, and…
Understanding Psychophysiology Improves Treatment Outcomes in Companion Animals
Understanding the connection between mental states and physical responses in animal patients is revolutionizing veterinary medicine. Psychophysiology—the study of how psychological processes affect physiological functions—offers…
Understanding BOAS: New Insights on Exercise Tolerance and Risk Assessment
Brachycephalic breeds—those with short, flat faces like Bulldogs, Pugs, and French Bulldogs—have become increasingly popular companions. However, the selective breeding that creates their characteristic appearance…
7 New Technologies Veterinary Professionals Should Know About in 2026
The veterinary field is experiencing an exciting technological revolution that’s transforming how we care for our animal patients. As we move through 2026, staying informed…
Examining Differences in Nutrient Requirements for Large Breeds and Performance Dogs
Dietary recommendations are an important service you provide to your clients. Let’s explore the unique nutrient requirements for large breeds and performance dogs. Multiple studies…
Medicinal Properties of Ginger
Ginger (Zingiber officinale) has gained attention in veterinary medicine as a potential therapeutic agent for various canine conditions. While research in dogs remains limited compared…
Integrative Approaches to Chronic Cough in Dogs
Chronic cough in dogs presents a common yet complex challenge in veterinary practice. While traditional treatment protocols remain essential, integrative approaches that combine conventional medicine…